
Foto de Alpha Salud
Los brackets, conocidos también como frenillos, son aparatos metálicos fijos utilizados en la ortodoncia para tratar y corregir defectos de la posición, alineación, forma y función de los dientes. Según el último informe del Ministerio de Salud de Chile “Análisis de Situación de Salud Bucal en Chile”, las anomalías dentomaxilares junto a las caries dentales y las enfermedades gingivales, son las patologías bucales más comunes en el país y en muchos otros países.
Favorece la estética del paciente y principalmente ayuda a mejorar significativamente trastornos que afectan el proceso de masticación y la funcionalidad general de los dientes. Aunque este común tratamiento de ortodoncia es mundialmente conocido por su objetivo estético, busca sobre todo, entregar al paciente una buena salud bucal tanto a nivel muscular como periodontal.
Los brackets constituyen un procedimiento efectivo antes situaciones de apiñamiento, separación dental, movida abierta y mordida cruzada que pueden ocasionar dolores musculares, de cabeza e incluso de cuello. Además, es importante destacar que un tratamiento inadecuado puede acrecentar este tipo de dolencias por lo que es vital acudir a un especialista en ortodoncia capaz de llevar a cabo el tratamiento con pleno conocimiento y profesionalismo.
De acuerdo a la Sociedad de Ortodoncia de Chile, "gran parte de los casos de mal oclusiones son hereditaria y otra gran parte de ellos pueden ser causados como consecuencia de un accidente, de los malos hábitos que adopta un niño desde pequeño como chuparse los dedos, la pérdida prematura de dientes o por obstrucciones respiratorias por amígdalas o pólipos".
Heredados o no, muchos de estos problemas mencionados anteriormente no solo pueden llegar a afectar la correcta alineación de los dientes, sino también el propio desarrollo facial y por ende, la apariencia física del paciente.
Como respuesta a ello, los tratamientos con frenillos permiten al ortodoncista realizar movimientos suaves que irán desplazando uno o varios dientes hasta corregir su colocación y conseguir una buena oclusión y alineación de los mismos, por lo que antes de iniciar con el tratamiento será este profesional quien llevará a cabo un análisis previo de ortodoncia con el fin de determinar el tipo de procedimiento más adecuado para corregir cada caso.

Video de la Clínica de Malposiciones Dentales
La Sociedad de Ortodoncia de Chile asegura que “los pacientes con mala posición dental pueden llegar a padecer de distintas dolencias, además de dificultarse su capacidad de higiene y mantenimiento de una buena salud bucal propiciando así la aparición de caries, enfermedades de las encías y la posterior pérdida de dientes”.
Como consecuencia de no detectar y tratar a tiempo cualquier enfermedad bucodental, el paciente puede llegar a desarrollar una dentadura en muy mal estado cuyas alteraciones articulares pueden llegar a producir también dolores crónicos de cabeza, cara y cuello.
De ahí la importancia de acudir al ortodoncista quien es el profesional idóneo para indicar si una persona es candidata o no a utilizar brackets, no obstante hay ciertos indicios que a vista simple pueden indicarte si debes asistir a una primera cita de evaluación en la cual puedas despejar todas tus dudas. Es importante prestar atención estos síntomas:
Adicionalmente a estas condiciones, también puedes prestar atención a otras señales generalmente cotidianas que pueden advertirte ante la necesidad de un tratamiento de ortodoncia:

Equipo de ortodoncistas de CDC Dental
El primer paso ante un tratamiento de ortodoncia es realizar una búsqueda exhaustiva de profesionales idóneos y certificados que puedan tratar tu caso con responsabilidad y pleno conocimiento. En Chile, la figura profesional del ortodoncista es la capacitada para diagnosticar y decidir si el paciente necesita un tratamiento con brackets y si este debe ir acompañado o no de alguna extracción o cirugía.
Es importante verificar la especialización, los estudios y la trayectoria del ortodoncista. De cara a obtener diferentes opiniones sobre tu caso y obtener varios presupuestos con el finde comparar precios, no dudes en concretar una primera cita con varios ortodoncistas que además de resolver tus dudas, puedan mostrarte trabajos anteriores y los resultados obtenidos en situaciones similares a la tuya.

Video de la Dra. Katty Campi
Sin duda alguna, la primera cita con el ortodoncista es la más importante pues el paciente tendrá la oportunidad de exponer su caso y transmitirle al profesional los objetivos estéticos y de salud que busca lograr. Es el ortodoncista quien está capacitado para realizar un primer diagnóstico y preparar el tratamiento indicado para corregir sus deficiencias bucodentales.
Tras realizar un cuestionario necesario para formular el historial del paciente, el ortodoncista lo evaluará mediante un examen clínico que consistirá, en primer lugar, en revisar en qué condiciones está todo el tejido estomatognático del paciente, tal como lo comenta la Dra. Katty Campi. Con radiografías el ortodoncista podrá detectar si se padece de alguna infección o caries; conocer la posición de los dientes; verificar ausencias dentarias; y ver la posición, ángulo e inclinación de los dientes.
A su vez se tomarán fotografías para conocer la simetría facial del paciente y explorar el interior de la boca permitiéndole al ortodoncista valorar la presencia de apiñamiento, y se trabajará con un modelo de la boca del paciente a escala real que revelará la proporción existente entre los dientes, el tamaño y espacio o apiñamiento entre ellos.
Es un estudio exhaustivo pero necesario previo a colocar cualquier tipo de aparatología e incluso a decidir el tipo de tratamiento indicado para cada caso. A partir de toda la información arrojada por las distintas pruebas, el ortodoncista trabajará en definir un tratamiento 100% personalizado que se ajuste al diagnóstico del paciente.

Para iniciar el tratamiento el paciente no puede tener caries, ni padecer de ningún tipo de infección
De acuerdo a profesionales de la Sociedad de Ortodoncia de Chile, "los inicios del tratamiento con brackets pueden resultar un poco incómodos para el paciente, pues es cuando estará más propenso a sentir sensibilidad y cierta presión en los dientes". No obstante, la preparación es bastante sencilla y dependerá de cada caso, pudiéndose requerir que el paciente se someta a una cirugía o tratamiento previo para tratar cualquier tipo de problema adicional que imposibilite iniciar con el procedimiento.
Igualmente, es necesario que el paciente tenga sus encías completamente sanas y que no padezca de ningún tipo de infección, gingivitis o caries.

Video explicativo de la Clínica Dental Art
Una vez se realicen todas las pruebas y se haya definido el tratamiento indicado para corregir el problema detectado en el paciente, se procederá con una siguiente consulta destinada a la colocación de los brackets y otros componentes que conforman un tratamiento completo de ortodoncia, como lo son los arcos y las gomas elásticas. Esto también dependerá del tipo de bracket elegido por el paciente en conjunto con el asesoramiento y guía del ortodoncista.
Como lo explica la Dra. Katty Campi, “los brackets son aditamentos esenciales para realizar el tratamiento de ortodoncia y pueden ser cerámicos, metálicos, de zafiro, autoligables o de oro”. Estos se colocan directamente en la parte vestibular de los dientes con la ayuda de arcos y bandas que permitirán, con el tiempo, alinearlos en una posición mucho más sana y estética.
Durante el proceso se aplica un producto que permitirá microporizar la dentadura facilitando la colocación de material adhesivo y de resina polimerizable que se sellará con la incidencia de luz. Posteriormente, se colocarán los brackets utilizando una férula transparente y se agendarán una serie de revisiones donde se analizará la evolución del tratamiento y los avances conseguidos.
De acuerdo a dicho progreso, el ortodoncista irá modificando la colocación de los brackets y en caso de que sea necesario, de los otros componentes que constituyen el tratamiento. Toda vez que este haya finalizado, se retirará toda la aparatología y se procederá a la colocación necesaria de un retenedor fijo o removible en la parte trasera de los dientes que asegurará mantener los efectos conseguidos.

Paciente atendido por la Dra. Marta Barrera Ortodoncia
De acuerdo a la edad del paciente y a sus necesidades particulares, se podrá optar por un tratamiento de ortodoncia interceptivo o correctivo, siendo el primero el indicado para prevenir problemas más graves en el futuro derivados de malos hábitos en los primeros años de edad y que podrían afectar el desarrollo normal de la cara y los maxilares.
El segundo tratamiento al que es posible optar es el correctivo, que como su propio nombre lo indica pretende aplicar medidas para corregir cualquier caso de maloclusión que antes no haya sido tratado o bien, que no haya respondido positivamente al procedimiento aplicado con anterioridad. Esta opción responde a la aplicación de tres aparatos distintos:
Por otro lado, existe una diversidad de brackets de diferentes materiales por los que el paciente podrá optar, siempre bajo la recomendación y guía del ortodoncista. Como lo explica la Dra. Katty Campi, actualmente es posible encontrar en el mercado estos tipos de apliques ortodóncicos:

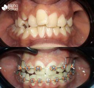
Un correcto tratamiento mejora significativamente la alineación de los dientes y la función mandibular. Imagen de paciente atendido en Odontología Manquehue Norte
Según la “Encuesta Nacional de Calidad de Vida y Salud” del Ministerio de Salud de Chile desarrollada entre 2015 y 2016, el 14% de chilenos mayores de 15 años considera que el estado, salud y apariencia de sus dientes y encías afecta su calidad de vida. A su vez, Mauricio Rosenberg, Secretario Nacional del Colegio de Cirujanos Dentistas de Chile afirma que es indispensable que niños a los 3, 6 y 9 años de edad se realicen controles dentopedriáticos con la finalidad de anticipar futuros problemas y mejorar su salud bucal.
Por otro lado, someterse a un tratamiento de ortodoncia con brackets supone una inversión que asegura el bienestar y la salud del paciente, pero también su autoestima y actitud ante la vida. Así pues, un tratamiento bien ejecutado podrá conseguir un correcto alineamiento dental y una normalización maxilar y manidbular. Estos son algunos de los beneficios que perciben los pacientes de ortodoncia:

Video explicativo de la Clínica Dental Art sobre la técnica de limpieza bucal que deben practicas los pacientes de ortodoncia
Es posible que durante las primeras horas e incluso días, sientas alguna molestia o dolor, no obstante es un proceso de adaptación completamente normal por el que pasan todos los pacientes que se han sometido por primera vez a un tratamiento con brackets y que no imposibilitará de ningún modo que puedas seguir con tu actividades diarias.
Aunque no es un tratamiento invasivo que requiera de mayor reposo o incapacidad, la Sociedad de Ortodoncia de Chile sugiere algunas recomendaciones de cara a prolongar la vida de la aparatología y sobre todo, a no entorpecer el tratamiento con malos hábitos. Estas recomendaciones son:

Imagen de Clínica Medical Dent
La colocación de brackets no impide que el paciente pueda seguir con su día a día con completa normalidad. Si bien es cierto y dependiendo de cada paciente, unos podrán tener más molestias que otros los primeros días, no obstante, son sensaciones que pueden aliviarse con analgésicos hasta que el ortodoncista lo indique.
La Sociedad de Ortodoncia de Chile sugiere otros cuidados que deben iniciarse desde el primer día a partir de la colocación de la aparatología:

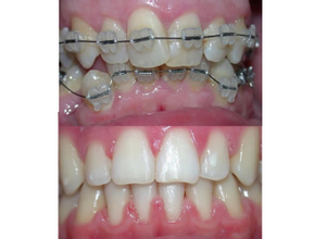
Imagen de resultados de Clínica de Ortodoncia Encalada
El tratamiento con brackets otorga excelentes resultados tras un buen diagnóstico, el uso correcto de la aparatología, una higiene bucal adecuada y un seguimiento de la evolución. Sin embargo, existe la posibilidad de que aunque no vuelvan a su estado normal, con el paso del tiempo los dientes vuelvan a moverse respondiendo a su propia naturaleza.
La fase de retención que inicia una vez se han retirado los brackets es tan importante como el resto de las fases que complementan en tratamiento, por lo que es vital ser constante con el uso de los retenedores durante las noches.
Por otro lado, la Sociedad de Ortodoncia de Chile, indica que “un tratamiento de ortodoncia efectivo es una camino que requiere el compromiso y cooperación tanto del ortodoncista como del paciente que deberá seguir con disciplina cada una de las recomendaciones recibidas, principalmente en cuando a salud mental, hábitos saludables y la asistencia regular a las citas de control”.

Durante los primeros dos días el paciente puede padecer de cierta sensibilidad y presión en los dientes
Es importante tener en cuenta la posible aparición de caries, un desgaste dental y dolores de oído o de cabeza. A su vez, los labios, lengua y mejillas puedes irritarse durante los primeros días debido al rose con los aparatos.
De acuerdo a la Sociedad de Ortodoncia de Chile, durante los primeros días los dientes pueden experimentar cierta presión y sensibilidad. No obstante, el paciente puede mejorar estas sensaciones tomando algún analgésico aconsejado por el ortodoncista.
¿Es posible la colocación de brackets después de instalar un implante? No es posible realizar un tratamiento de ortodoncia después de la instalación de un bracket puesto que se corre el riesgo de que se pueda mover y reduzca la efectividad de la ortodoncia.Instituto de Ortodoncia El Llano
¿Se puede corregir la mandíbula hacia adelante? Es posible corregirlo con brackets, con procedimientos quirúrgicos o con la combinación de ambos. Para ello es necesario realizar un análisis ortodóntico acompañado de radiografías. Dra. Kelly Gulfo
¿Cuánto tiempo puede durar todo el tratamiento? El tiempo estimado de duración del tratamiento es posible determinarlo a partir de la evaluación clínica. Algunas opciones como los brackets de autoligado suelen tener muy buenos resultados si se pretende reducir el tiempo. Ridere Clínica Dental
¿Se pueden usar brackets después de los 30 años? No hay un límite de edad en la colocación de frenillos. Ridere Clínica Dental
Ministerio de Salud (2017). Encuesta de Calidad de Vida y Salud (ENCAVI). [online] www.minsal.cl. Available at: https://www.minsal.cl/wp-conte... [Accessed 14 Mar. 2019].
SORTCHILE. (n.d.). Preguntas frecuentes. [online] Available at: https://www.sortchile.cl/es/de... [Accessed 14 Mar. 2019].
Tratamientos más populares
Abdominoplastía
Rinoplastía
Borrar tatuajes
Lipoescultura
Aumento mamario