
Debido a factores como traumatismos, enfermedades periodontales, vejez o una mala higiene bucal, los dientes se pueden quebrar, trizar e incluso perder, perjudicando directamente la calidad de vida y la autoestima de las personas.
Para ello, el paciente puede someterse a varios tratamientos de reconstrucciones dentales que le permitirán evitar el deterioro de hueso por falta de estímulo de la pieza al masticar, impidiendo la aparición de caries y devolviendo las funciones de masticación.
La reconstrucción dental es uno de los métodos más utilizados para recuperar y reparar los dientes. Estas técnicas están dentro del área específica que se llama Odontología Conservadora y Prostodoncia. Gracias a esto el paciente recupera la estética y funcionalidad de sus piezas dentales.
Se puede necesitar una reconstrucción dental por varios motivos:

Hay diferentes maneras de reconstruir un diente, entre los que se pueden destacar:

Los candidatos ideales para una reconstrucción dental son niños o adultos que tengan sus dientes definitivos y que presentes algunos de estos problemas:

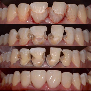
Foto de Odontología Cordillera
Los especialistas que se encargan de las reparaciones dentales son los Odontólogos Prostodoncistas, especializados en el tratamiento de problemas dentales, restaurando piezas de las mismas y de la mandíbula. Este profesional es especialista en cosmética dental, coronas, implantes, prótesis y en todo lo relacionado con la rehabilitación oral, según explican los expertos de Mayo Clinic.
Otra buena práctica es solicitar al médico fotos del antes y después de algunos de sus pacientes con patologías similares para corroborar la tasa de éxito y de los resultados del tratamiento.

Durante la primera consulta el odontólogo realizará una completa revisión para determinar cómo es la salud bucal del paciente. Así mismo, el odontólogo realizará una completa evaluación de la dentadura del paciente, tomando en algunos casos, radiografías de la o las piezas dentales dañadas para determinar qué tipo de tratamiento es los más convenientes según sea cada caso. Si el paciente tiene alguna infección o caries, lo más probable es que se necesiten tratamientos de endodoncia antes de proceder con la reconstrucción.
Así mismo, durante esta primera instancia el médico le explicará al paciente todos los detalles sobre su patología y le recomendará el tratamiento más indicado.
Es una excelente oportunidad para resolver todas las dudas con respecto al procedimiento, el tiempo que llevará todo el proceso, los valores, entre otros.
Un tratamiento de reconstrucción dental se realiza dependiendo de qué tipo de procedimiento es el elegido según cada caso. En ese aspecto, se puede detallar:


Luego de los procedimientos el paciente puede retornar a sus actividades habituales. Es común sentir algo de molestia por lo que el odontólogo puede recetarle antiinflamatorios como el ibuprofeno. Así mismo, es recomendable seguir una dieta blanda por un par de días y evitar alimentos demasiado fríos o calientes en primera instancia.
También se recomendará:
Si bien, por lo general estos tratamientos son muy seguros, existe la posibilidad de que el paciente experimente los siguientes efectos secundarios: hipersensibilidad a los cambios de temperatura, pulpitis, dolor extremo, inflamación y sangrado.

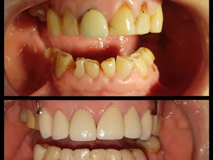
Antes y Después Clínica Dental Exceldent Plus
Clínica Dental Sonrie. 2020. Resinas Compuestas Una Alternativa Estética Y Al Alcance. [online] Available at: <http://clinicadentalsonrie.cl/project/resinas-compuestas-una-alternativa-estetica-y-al-alcance/> [Accessed 6 July 2020].
Mayo Clinic. 2020. Dental Specialties. [online] Available at: <https://www.mayoclinic.org/es-es/departments-centers/dental-specialties/overview> [Accessed 6 July 2020].
Tratamientos más populares
Abdominoplastía
Rinoplastía
Lipoescultura
Borrar tatuajes
Láser CO2 fraccionado