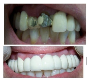
¿De qué material son las prótesis dentales?

Los elementos protesicos son todo lo que adicionamos para sustituir lo que nos falta por ejemplo una pieza dental la puedes sostituir por una corona, que va ubicada dentro de una pieza dental ya con tratamiento de conducto, un implante es realizar...











