
El tratamiento permite reajustar la dentadura y corregir la posición de los dientes
Existen diversos problemas dentales relacionados con las anomalías de forma, posición, relación y función de las piezas dentarias, las que comúnmente son diagnosticadas y tratadas a través de la ortodoncia convencional con brackets, lo que son sujetados a la parte externa del diente. Para muchas personas que deben someterse a estos largos tratamientos les resulta incómodo, molesto al comer e incide directamente en la confianza y estética al momento de sonreír. Una gran alternativa, gracias a los avances en esta materia, es la ortodoncia lingual, la cual tiene por objetivo tratar las mismas patologías, pero de una manera más sutil, menos visible y cómoda.
La ortodoncia lingual es una especial de la odontología la que tiene por finalidad resolver problemas de mal posición dentaria u otras patologías (apiñamiento) a través de la colocación de brackets pero en la parte interna de los dientes (lingual o palatina), de manera que quedan invisibles a la vista de los demás y el paciente podrá lucir una sonrisa más estética, explican desde el Instituto Nacional de Ortodoncia.

Especialmente indicados para quien trabaja con su imagen
El candidato ideal para realizarse ortodoncia lingual son niños que ya cambiaron los dientes de leche a los definitivos (12 años aprox), adolescentes y adultos que deseen tratar las maloclusiones o malposiciones de la ortodoncia tradicional, pero de manera invisible y más cómoda. Especialmente indicados para modelos, deportistas o personas que trabajen gracias a su estética.
Actualmente no existen contraindicaciones, pero sí es importante que el paciente goce de buena salud periodontal para poder someterse a una ortodoncia lingual.
Este tratamiento está contraindicado para personas con problemas en las encías como gingivitis, infecciones u otras patologías que sean necesarias tratar antes de poner los brackets.

En este caso, es importante realizar varias investigaciones antes de elegir al especialista. Por un lado, el paciente debe cerciorarse que el profesional sea un Odontólogo especialista en Ortodoncia Lingual.
Al mismo tiempo se debe realizar una búsqueda de las clínicas que realizan este tratamiento, revisando el precio y leyendo sobre los beneficios del tratamiento.
Esta es una buena oportunidad para pedir al especialista fotografías del antes y después de algunos de sus antiguos pacientes, con la finalidad de constatar su experiencia y conocer cómo serían los resultados. Recordemos que atenderse con un odontólogo experto será la clave para asegurar un proceso confiable, seguro y con buenas proyecciones.

Momento ideal para hacer todas las preguntas del procedimiento
Durante la primera visita el ortodoncista realizará un completo estudio de la boca y de las posibles malposiciones o maluclusiones dentales que presenta el paciente. Para ello, es muy probable que se tomen radiografías, fotografías y se realicen moldes de la boca del paciente para poder diagnosticar la o las patologías y así poder elegir el tipo de tratamiento con exactitud.
El odontólogo le preguntará también cuáles son las principales motivaciones del paciente para querer un tratamiento de ortodoncia lingual. Así mismo, durante esta primera consulta el especialista le detallará los paso a paso del tratamiento, así como también los principales beneficios y posibles complicaciones. En esa línea es aconsejable aprovechar esta instancia para resolver todas las dudas con respecto al procedimiento.

La liga puede ser de color o transparente
Antes de un tratamiento de ortodoncia lingual, el ortodoncista le pedirá al paciente que se realice una limpieza dental profunda.
Como primer paso el ortodoncista pone unas almohadillas al interior de la boca para que absorba humedad, junto con unos separadores para facilitar la visión y poder colocar correctamente los brackets, los que fueron programados gracias a la tecnología 3D según las necesidades de cada paciente y para lograr un resultado perfecto.
Estos separadores tienen unos tubos especiales para recoger la saliva y expulsarla de la boca durante el tratamiento. Luego se prepara la superficie dental secando con aire, luego se arena la parte interna de los dientes que irán con brackets para que estos se puedan adherir correctamente. Como paso siguiente se quitan los restos de esa arena con agua y se secan los dientes. Posteriormente se aplica un gel azul llamado ácido fosfórico.
Para el paso de cementado, se pone una gota de cemento en cada bracket y se ponen con la ayuda de una cubeta o férula a la superficie de los dientes. Terminado esto, se retiran las cubetas y el ortodoncista se cerciora que quedaron bien puestos.
Finalmente se ponen los arcos los que están hechos a medida con la ayuda de una liga (puede ser de color o transparente) para llevarla entre el bracket y el arco y así fijarla.

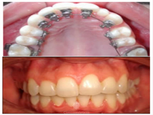
Antes y después: Clínica Estética Dental Laserdent
Según los especialistas de Ortodoncia Lingual de Chile los principales beneficios de este tratamiento son:

Los brackets son casi invisibles
La recuperación de este tratamiento es bastante rápida y los pacientes pueden retornar a sus actividades cotidianas el mismo días. Además, la ortodoncia lingual no duele, pero suele presentar algunas molestias derivadas de la presión y roce que ejerce el nuevo aparato ortodóncico con la lengua, explica la Dra. María Elsa Pavic. “Son molestias similares a las que se perciben con la ortodoncia convencional’’, menciona la especialista.
Es posible que el paciente pueda presentar un leve ceceo al principio, pero a medida que se vaya acostumbrando desaparecerá. Se cree que el período de adaptación a este es de dos a tres semanas, tiempo en el cual, deberían acabarse los síntomas.
También es considerado normal que en los primeros días los brackets puedan causar pequeñas heridas o roce en la lengua producidas por el roce. En este caso se aconseja ponerse en el lugar donde se está provocando la herida, cera especial para ortodoncia, lo que aliviará la molestia y hará que la llaga cicatrice.
Puede que el ortodoncista le recomiende seguir una dieta blanda por unos días, como purés, sopas y guisos que sean blandos y de fácil masticación. Paralelamente el paciente deberá erradicar de forma definitiva los alimentos duros o pegajosos como calugas, turrones, entre otros.
Si las molestias persisten el ortodoncista le podría recetar un analgésico como ibuprofeno para calmar el dolor.

La ortodoncia lingual requiere de muchos cuidados
A pesar de ser un tratamiento seguro con múltiples beneficios, la ortodoncia lingual requiere de muchos cuidados, sobre todo en el ámbito de la higiene bucal, ya que se hace más difícil, por ello los especialistas recomiendan:
Gracias a estos cuidados se podrán prevenir enfermedades como la gingivitis, la periodontitis, caries, entre otros.

Cuidado al masticar alimentos duros
Las principales complicaciones que pueden derivar de este tratamiento serán por una mala higiene por parte del paciente lo que puede provocar enfermedades e infecciones a las encías como la gingivitis. También el masticar elementos muy duros o pegajosos puede provocar el desprendimiento de los brackets por eso es fundamental seguir las pautas de cuidado al pie de la letra.

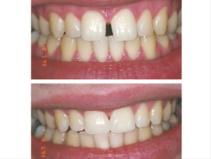
Antes y después: Clínica Primavera
Los resultados son definitivos y se podrán apreciar pasados los 18 a 24 meses. El paciente recupera una sonrisa natural y perfecta, con los dientes alineados. Esto traerá consigo una mejora sustancial en su calidad de vida, ya que tendrá mayor autoestima y confianza al momento de hablar o sonreír.