
Imagen de Alpha Salud
La extracción de dientes es el procedimiento mediante el cual se saca un diente de la encía. Como lo explica MedlinePlus, la Biblioteca Nacional de Medicina de los Estados Unidos, se puede acudir a esta cirugía cuando, entre otras causas, el diente ha sufrido por una fuerte lesión o por una infección profunda.
La exodoncia, comúnmente conocida como extracción dental corresponde a extirpar un diente que desde el punto de vista odontológico, es irrecuperable o perjudicial para la salud del aparato masticador. Por ello, se acude a este procedimiento quirúrgico que suele ser uno de los más solicitados en la consulta y que se lleva a cabo cuando el paciente se enfrenta a alguna de estas situaciones:
Por otro lado, de acuerdo a MedlinePlus, una extracción de diente se lleva a cabo en un consultorio dental o en un pabellón y está a cargo de un dentista general, un cirujano maxilofacial o un periodoncista. Asimismo, se trata de una cirugía en la que se aplica anestesia local y puede durar hasta unos 60 minutos que dependerán del nivel de complejidad de cada caso.
Es muy importante que antes de realizar la extracción de la pieza, se debe tomar una radiografía periapical o panorámica para ver el estado de las raíces, estructuras que rodean el diente y posición de este.

Será un dentista quien determine si el diente puede ser salvado aplicando otro tratamiento o si debe realizarse una extracción
Existen diversas situaciones que pueden obligarte a someterte a una exodoncia o extracción dental. Dichos casos pueden comenzar a detectarse a partir de una revisión dental a cargo de un profesional o incluso, por síntomas que pudieses comenzar a experimentar. Por lo anterior, es importante que prestes atención a cualquiera de estas situaciones que describe la Biblioteca Nacional de Medicina de los Estados Unidos y acudas al dentista de inmediato:
Cabe mencionar que no todas las razones están directamente relacionadas a la salud y estética dental del paciente, puesto que muchas personas que reciben medicación contra el cáncer o que se han sometido a un trasplante de órgano podrán necesitar una extracción dental, si este tiene la dentadura infectada.

Antes de elegir a tu doctor, considera el estado de las instalaciones de la clínica y el equipo con el que trabaja
Una extracción dental debe ser realizada exclusivamente por un dentista general, un cirujano bucal o un periodoncista y debe llevarse a cabo en un consultorio dental u hospital de clínicas dentales. A su vez, merece la pena que antes de elegir a tu doctor, hagas unas búsqueda exhaustiva sobre su experiencia y formación; conozcas previamente las instalaciones del consultorio; y preguntes sobre los materiales y equipos con lo que suelen trabajar.
Otra forma de constatar la experiencia y acreditación del médico es consultando información en entidades competentes. En conclusión, te aconsejamos que antes de contratar cualquier servicio revises detalladamente qué incluye, sobre todo en promociones con precios demasiado económicos.

Durante la primera cita el dentista resolverá todas tus dudas. Foto de Alpha Salud
La Clínica Mayo, entidad sin ánimo de lucro, advierte sobre la importancia de pedir una consulta con el dentista cuando, entre otras molestias, también se experimente sensaciones de dolor y sensibilidad. Considera esta información que te ayudará a prepararte para tu primera cita y sacar de ella el mejor provecho:
Respecto al doctor, este realizará una radiografía que le permitirá planificar mucho mejor la extracción del diente considerando el estado de todas las piezas dentales y cualquier infección, tumor o enfermedad ósea que puedas presentar. Del mismo modo, revisará si es necesario hacer una endodoncia, podrá recetarte antibióticos para tomar antes de la cirugía y tratar la infección previamente al inicio del procedimiento quirúrgico.
Debido a que una extracción dental puede introducir bacterias a otras partes del cuerpo a través del torrente sanguíneo, es fundamental que informes al médico sobre cualquier afección que te pueda hacer más propenso a una infección, como una enfermedad cardíaca, hepática, si tienes un sistema inmune débil o bien si te han realizado alguna cirugía reciente. Recuerda que los análisis dependen del caso clínico de cada paciente.

Evita fumar un día antes de la cirugía
Antes de la cirugía, algunos médicos suelen recetar antibióticos, ya sea para tratar una infección existente o bien para hacer al paciente propenso a ella en caso de que este sufra de alguna afección cardíaca, hepática o sistema inmune débil, no obstante esta práctica varía según cada caso.
Si antes de la cirugía tienes tos, congestión nasal o un resfriado, es importante que lo comuniques a tu médico quien posiblemente preferirá posponer la cirugía. Asimismo, debes prestar atención a cualquier sensación de mareos, náuseas e incluso vómitos, lo cual podría alertar al dentista o cirujano bucal sobre la necesidad de cambiar la anestesia y reprogramar la extracción.
Por otro lado, expertos aconsejan evitar fumar antes la cirugía, puesto que ello puede aumentar el riesgo de padecer de una infección y de que el período de recuperación sea más doloroso y complicado. Adicionalmente, puede aparecer una alveolitis seca que, según la Alpha Salud provoca en el paciente un dolor intenso después de una extracción dental, que no cede con los medicamentos.
Recuerda también, informar a tu médico de todos los medicamentos que estés tomando y comparte con él detalles sobre tu historia clínica. Ello evitará que una decisión de extraer un diente pueda convertirse en un problema mayor que repercuta en otras partes del cuerpo.

Extracción dental. Imagen del Centro Médico y Dental Actimed
Tal como lo explica la Biblioteca Nacional de Medicina de los Estados Unidos, existen dos tipos de extracciones dentales. Tanto la extracción simple como la extracción quirúrgica son realizadas únicamente por dentistas o cirujanos bucales en un consultorio dental o en un hospital de clínicas dentales. En el primer caso, el procedimiento es más sencillo toda vez que lo que se intentará será quitar un diente visible y al que es fácil acceder.
Por otro lado, la extracción quirúrgica requiere una incisión en el tejido conectivo para lograr acceder al diente que se retirará y en cualquiera de los dos casos puede ser necesario quitar más de una pieza dental. A continuación explicamos ambos procedimientos:
Una vez finalizada la cirugía, el profesional limpiará la cavidad de la encía y en caso de ser necesario, alisará el hueso restante. En otros casos, es necesario cerrar la encía con varios puntos para luego solicitarle al paciente morder una gaza húmeda que impida un riesgo de hemorragia.
Por otro lado, los expertos destacan que el procedimiento de extracción dental podría requerir más de una cita en caso de que el paciente necesite retirarse varias piezas. Asimismo, explican que el paciente puede beneficiarse de una anestesia general siempre que el grado de dificultad de la cirugía lo requiera y ello, además, pueda aliviar la ansiedad del paciente.

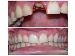
La extracción dental necesaria facilita la instalación de implantes
Posiblemente te hayas planteado que es momento de extraer esa muela o diente que no beneficia en absoluto a tu salud bucodental, y es que la exodoncia se trata de un procedimiento quirúrgico que supone varias ventajas para todo paciente que la necesite. Algunas de ellas son:
Si hablamos de una extracción de muelas, entonces los beneficios también apuntan a la prevención de problemas futuros serios. En ese sentido, la Clínica Mayo explica que las muelas del juicio asintomáticas pueden acarrear importantes enfermedades que pueden llegar a afectar otras partes del cuerpo. Asimismo, hace énfasis en la salud e higiene oral que gana el paciente cuando toda su dentadura está funcionando correctamente.
Cabe destacar, que la extracción dental se realizará si la pieza no tiene otro tratamiento que permita mantenerla en la boca.

Profesionales recomiendan visitar con regularidad a su dentista. Imagen de Alpha Salud
Una vez culminado el procedimiento, el paciente permanecerá mordiendo una gaza por un determinado tiempo, previniendo la formación de un coágulo de sangre que pueda llegar a la cavidad. Por otro lado, podrá tener las mejillas y labios adormecidos por el efecto de la anestesia y recibirá instrucciones de su médico de colocar hielo sobre la mejilla para ayudar a la desinformación de la zona.
La Biblioteca Nacional de Medicina de los Estados Unidos recalca que todos los pacientes sanan de manera distinta de acuerdo a su propio caso y puede tomar entre 1 a 2 semanas que la cavidad sane. Por otro lado, una vez pasado el efecto de la anestesia, el paciente podría comenzar a sentir dolor por lo que le será recetado algún analgésico como el ibuprofeno, mientras que para una buena recuperación recomiendan:
En situaciones normales las molestias deben disminuir dentro de un periodo de 3 días y dos semanas después de la extracción. Si las molestias siguen y se mantiene el dolor o este aumenta, se debe visitar al dentista.
El cuidado posterior a una extracción dental es de vital importancia, ya que esto ayuda a prevenir hemorragias o infección de la herida y así permitir una cicatrización exitosa.

Atender a todas las recomendaciones del dentista es vital para un proceso de recuperación con menores efectos secundarios posibles. Imagen de la Dra. Nury Berríos Dolz
Como toda cirugía, la extracción de dientes también puede ser, en ocasiones, contraproducente para el paciente, por lo que es vital la decisión del dentista o cirujano de aplazar o evitar la cirugía en mujeres embarazadas y personas con:
En cuanto a los riesgos, la Biblioteca Nacional de Medicina de los Estados Unidos advierte que un paciente tras una exodoncia o extracción dental podría desarrollar un coágulo de sangre en la cavidad, infección o daño de algún nervio. Asimismo, agrega que en algunos procedimientos muy complejos es posible que los instrumentos puedan causar algún tipo de fractura, lo cual podría implicar el daño a otros dientes o a viejas restauraciones. Otros efectos secundarios podrían ser hematomas, inflamación, incomodidad, dolor o reacción a la anestesia y medicamentos administrados.
Biblioteca Nacional de Medicina de los Estados Unidos. (n.d.). La extracción del diente. [online] Available at: https://medlineplus.gov/spanis... [Accessed 14 Mar. 2019].
Mayo Clinic. (n.d.). Extracción de la muela del juicio. [online] Available at: https://www.mayoclinic.org/es-... [Accessed 14 Mar. 2019].