
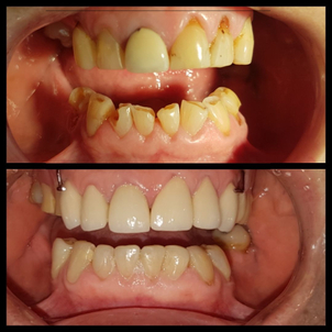
Lesión infecciosa tratada por la Dra. Katherine Ruiz
La endodoncia es un tratamiento que permite salvar un diente muy dañado o infectado a través de una reparación que no supone como primera opción, la extracción de la pieza. De acuerdo a la Clínica Mayo, el término “endodoncia” hace referencia al proceso de limpiar los conductos en el interior de la raíz de un diente.
Indicado para tratar piezas dentales con caries muy profundas que provocan la inflamación o la necrosis de la pulpa dental, que no es más que la parte más interna del diente donde se encuentran vasos sanguíneos y nervios.
La caries no es la única enfermedad que suele ser provoca una pulpitis, pues también el desgaste dental por el roce, algunos traumatismos e incluso la forma en que se hayan realizado otros tratamientos pueden afectar de manera importante a este tejido conjuntivo.
De acuerdo a profesionales de la Clínica Dental Amedent, una vez que el nervio muere, la presencia de bacterias puede llegar a infectar los canales. Como consecuencia de ello, puede desarrollarse un absceso que junto a la muerte del nervio, es lo que provoca un dolor fuerte en el paciente y hasta la posibilidad de que el diente se mueva levemente de su posición.
No solo por un aspecto estético, sino también por salud, la endodoncia es sin duda una de las mejores opciones para evitar una extracción dental y acabar con el dolor de un diente cariado. Es un procedimiento que trata la parte interna del diente manteniendo su dentición natural y protegiendo el hueso y la encía que lo rodea. Gracias a los avances tecnológicos, ha dejado de ser doloroso e incómodo para convertirse en un tratamiento que puede finalizar con éxito en muy pocas sesiones.

Video explicativo de la Clínica Dental Amedent
La pulpa dental se extiende desde la parte más visible del diente, es decir, la corona, hasta la punta de la raíz en la mandíbula. Cuando un diente está partido o tiene una cavidad muy profunda, es entonces cuando la pulpa puede estar mucho más expuesta a bacterias que pueden provocar graves infecciones o un absceso dental.
De no tratarse a tiempo un diente cariado, la pulpa dental puede morir y en consecuencia, el paciente puede comenzar a perder estructura ósea o el propio diente. La Clínica Mayo advierte a los pacientes a prestar atención a cualquier síntoma de hinchazón en el rostro o cuello, así como la existencia de un agujero en el diente, dolor de muelas, hinchazón de encías y sensibilidad a temperaturas calientes o frías.
Si usted padece de algunos de estos síntomas o bien percibe un cambio de color en el diente, es importante que acuda a su dentista quien hará una revisión de cara a indicarle las próximas pautas y tratamiento más efectivo.

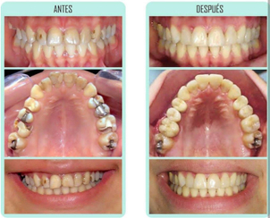
Paciente tratada por la Dra. Katherine Ruiz
La endodoncia es un tratamiento que requiere de máximo profesionalismo, pues un procedimiento mal hecho puedo tener consecuencias importantes para la salud del paciente. Por otro lado, la experiencia, habilidad y capacidad del endodoncista o del dentista es fundamental y determinante para conseguir un buen resultado que además sea duradero.
Al tratarse de un procedimiento un tanto complejo, es vital que el paciente acuda a un profesional capacitado para llevar a cabo este tipo de intervenciones con el máximo cuidado y equipos y materiales de buena calidad. Al momento de elegir al endodoncista o dentista que llevará tu caso, es importante que te asegures de:

Foto de paciente atendido en Clínica Dental Sonríe
Como lo explica la Clínica Mayo, para realizar una endodoncia se suelen necesitar una o dos citas, no obstante, algunos casos pueden ser muy difíciles de tratar y el tratamiento podría extenderse. En primer lugar, el paciente asistirá a una primera cita de evaluación donde el endodoncista o dentista general realizará una radiografía dental para determinar el nivel de daño que ha sufrido el diente. Ello implica una exploración exhaustiva que permitirá evaluar si tal daño ha llegado a afectar otros dientes adyacentes y si el problema es reversible o no.
El médico podrá hacer pruebas de sensibilidad a distintas temperaturas y podrá recetar al paciente un tratamiento con antibióticos para eliminar la infección antes de iniciar con el procedimiento de endodoncia. Durante la primera cita, el médico también explicará al paciente todos los detalles sobre su padecimiento y recomendará el tratamiento más indicado.
En consecuencia, si se llegase a tratar de una endodoncia, el médico explicaría todo el proceso, los resultados que se obtendrán y por supuesto, los cuidados que deben tenerse con el objetivo de no estropear el trabajo realizado. Cabe destacar que dependiendo de cada caso y su urgencia, el médico podrá iniciar el tratamiento el mismo día o bien agendar una segunda cita.

Video explicativo de la Clínica Dr. Robert Manhood
Como lo explica la Clínica Mayo, un proceso de endodoncia se compone de varias etapas:

Imagen proporcionada por Clínica Oi
De acuerdo a médicos de la Clínica Dental Amedent, “una endodoncia bien hecha puede salvar un diente que de otro modo tendría que ser extraído”. Además, someterse a tiempo al tratamiento puede suponer para el paciente otros beneficios como:

Imagen del Centro Médico y Dental Actimed
El proceso de recuperación tras un tratamiento de endodoncia es muy sencillo y no imposibilitará que el paciente pueda regresar a su vida normal. No obstante, es importante que siga una serie de pautas con el fin de proteger el diente tratado y sobre todo, dejar que el procedimiento vaya permitiendo que el diente se adapte nuevamente a su funcionalidad normal.
Como lo explica la Clínica Dental Amedent, es probable que el paciente sienta cierta sensibilidad en el área tratada e incluso es posible que experimente un dolor leve o presión que se aliviará con medicamentos de venta libre que podrá recomendar el médico. Seguir estos consejos permitirá que el tratamiento tenga excelentes y duraderos resultados:

La endodoncia es una de las mejores opciones para salvar un diente afectado por caries. Imagen de la Clínica Dental Exceldent Plus
La probabilidad de éxito de un tratamiento de endodoncia depende en gran medida de diversos factores que involucran no solo la capacidad del médico, sino también el compromiso del propio paciente. Algunos de estos aspectos apuntan al ámbito más técnico del tratamiento, pero también al ético, cobrando gran relevancia el diagnóstico que pueda hacer el profesional dental antes de tomar ninguna decisión. Además, es importante considerar lo siguiente para determinar que un tratamiento de endodoncia cumpla con los resultados esperados:
Tal como lo explica la Clínica Dental Amedent, “un tratamiento de endodoncia es a largo plazo, una de las mejores opciones para recuperar un diente” y siguiendo todas estas pautas es posible lograr que el tratamiento acabe con la infección y devuelva la funcionalidad al diente afectado hasta por 15 años.
Por lo anterior, la Biblioteca Nacional de Medicina de los Estados Unidos recomienda tomar ciertas precauciones de cara a prevenir una de las principales causas de la endodoncia: la caries.

Paciente tratada por la Dra. Claudia Mora Pérez
Como lo señala la Clínica Mayo, después de una endodoncia, el diente restaurado con la nueva corona puede volver a funcionar con normalidad y lograr una buena estética. No obstante, aún siendo uno de los mejores tratamientos para salvar un diente cariado y muy infectado, se desaconseja en determinadas circunstancias clínicas que fuerzan al paciente a recurrir a otras opciones como la implantología dental. Algunos casos a valorar son:
A su vez, es importante que el médico cuente con un historial clínico del paciente que le permita saber si el tratamiento de endodoncia es compatible con alguna otra condición de salud. Tal es el case de:
En cuanto a los efectos secundarios, el paciente podrá experimentar durante los primeros días sensación de sensibilidad, dolor e incomodidad. No obstante, las molestias se alivian en muy pocos días y pueden controlarse con la toma de analgésicos recomendados por el médico.
¿Se puede reconstruir un diente roto? Depende del grado de destrucción de tu diente, en algunos casos no es necesario sacar el diente. Dra.Kelly Gulfo
¿Es normal sentir dolor después de una endodoncia? Después de un tratamiento de ese tipo es normal que la pieza dentaria presente dolor unos días, molestia que debe ir decreciendo. Si esto no ocurre, debes concurrir donde te hayan efectuado el tratamiento, pues es posible que a veces la pieza tenga otro conducto que no sea visible y pueda ser eso lo que te molesta. Para ello deben realizarte una radiografía. Clínica Dental Dra. Diana Fuentes
¿Cuándo es necesaria? La endodoncia es el último recurso para evitar la extracción de un diente. Es un tratamiento indicado en caries profundas o traumatismos severos. Dental Chile
¿Se puede perder un diente con endodoncia? Efectivamente, es posible perder un diente con endodoncia si el tratamiento de rehabilitación definitivo no se realiza dentro de un plazo adecuado, esto es dentro de un mes hasta máximo tres meses, debido a que la endodoncia puede infiltrarse con bacterias provenientes de la misma boca, lo cual puede resultar en la pérdida del trabajo realizado. Dr. Luciano Varas Salinas
¿La endodoncia vuelve lo dientes frágiles? Por ser una pieza NO vital, al extraer la pulpa del diente, estos se vuelven más frágiles, pero con un tratamiento bien hecho y un buen cuidado, no debería existir problema y podría durar toda la vida, por eso es importante el control periódico con tu odontólogo. Clínica Dental Dra. Diana Fuentes
Mayo Clinic. (n.d.). Tratamiento de conducto radicular. [online] Available at: https://www.mayoclinic.org/es-... [Accessed 14 Mar. 2019].
Biblioteca Nacional de Medicina de los Estados Unidos. (n.d.). Caries. [online] Available at: https://medlineplus.gov/spanis... [Accessed 14 Mar. 2019].