
Las enfermedades periodontales se pueden dar por varios factores, entre ellos, una mala salud bucodental por falta de higiene.
La cara y la sonrisa son nuestra carta de presentación por lo que mantener una adecuada salud bucal es fundamental no sólo para fines estéticos, sino también para realizar adecuadamente varias funciones biológicas como masticar, deglutir y formar el bolo alimenticio, lo que constituye el principio del proceso digestivo.
Según explican los especialistas de la Red Salud UC Christus, la Periodoncia es un área de la odontología que tiene como principal objetivo tratar las diversas afecciones relacionadas con las encías o membranas que rodean los dientes o implantes. En esa línea, gracias a esta especialidad los odontólogos pueden revisar en detalle cada uno de los casos, indicando un tratamiento adecuado, según sea la condición y gravedad de los tejidos periodontales y perimplantares en mal estado.
Estos últimos pueden dañarse debido a varias causas como:

Halitosis, inflamación de las encías, hipersensibilidad dental y sangrado son algunos de los síntomas de las enfermedades periodontales
El candidato ideal para recibir algún tipo de tratamiento periodental tiene que tener presentar alguno de los cuadros o enfermedades bucodentales relacionadas a esta área. Las más comunes son:
En cualquiera de los casos el paciente tendrá que estar alerta a los síntomas que conllevan estas enfermedades dentales como la halitosis (mal aliento), sangrado de las encías al cepillar, hipersensibilidad dental (por el frío o calor) o la movilidad dentaria (dientes sueltos). Es importante que al presentar cualquiera de los síntomas anteriormente descritos la persona acuda a su odontólogo para revisar el tratamiento a seguir.

Foto de Odontología Integral y Estética, Dr Fernando Andrade Drpic
Al momento de elegir al especialista que tratará alguna de las patologías relacionadas con la Periodoncia, el paciente debe tener en cuenta varios factores. Según explican desde la Sociedad de Periodoncia de Chile, para que un médico pueda ser socio este debe contar con el título profesional de Odontología y con algún Magíster o grado académico superior en Periodoncia otorgado por una universidad chilena o extranjera acreditada o reconocida en Chile o por la Corporación Nacional Autónoma de Certificación de Especialidades Odontológicas.
Así mismo y con la finalidad de contar con diversas opiniones sobre el caso y tratamiento a seguir, es recomendable que el paciente visite diversos especialistas en ortodoncia para revisar opiniones, puntos de vista y pueda investigar sobre los casos de éxito en situaciones similares.

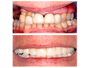
Foto de Smile Odontología Integral
La primera consulta con el odontólogo es fundamental para que el paciente pueda exponer su caso y le comente al ortodoncista cuáles son sus principales dolencias, síntomas y le explique en forma detallada cuáles son sus principales expectativas con respecto al tratamiento, tanto a nivel estético como biológico.
Por su parte el odontólogo revisará la historia clínica del paciente y le realizará algunas preguntas. Luego el ortodoncista efectuará una completa revisión bucodental, en la que evaluará el estado de los tejidos adyacentes al diente, las encías y todo lo relacionado a la salud periodontal, con la finalidad de realizar un diagnóstico y le da al periodoncista un panorama de la situación oral del paciente.
Así mismo, se le realizarán radiografías y se le tomarán fotos para tener una completa recopilación multimedia de la enfermedad y para evaluar el nivel de pérdida ósea, así como también la detección de lámina dura, las modificaciones dentales debido a la periodontitis o es estudio de la morfología radicular.
Durante esta primera visita de diagnóstico, es importante que el paciente pueda resolver todas las dudas con respecto al tratamiento de la patología o patologías asociadas, así como los costos del procedimiento a seguir.

El tabaquismo, los factores hereditarios y una mala higiene bucal inciden directamente en la creación de estas patologías
Existen varios factores de riesgo que pueden potenciar al desarrollo de estas enfermedades dentales, según explican desde la Clínica para la Periodontitis , entre ellas se destacan:

Existen diversos tipos de tratamientos que dependerán de cuán avanzada esté la enfermedad
Un tratamiento efectivo para periodoncia se puede realizar de varias formas, pero dependiendo del correcto diagnóstico del odontólogo. En esa línea, los especialistas de las Clínicas Dentix, explican que cuando la periodontitis no está en estado avanzado, el tratamiento a seguir es realizando una completa limpieza bucal, eliminando la infección y utilizando anestesia local. Por otra parte, en el caso de que la enfermedad esté más avanzada y exista una pérdida de soporte óseo considerable, el tratamiento a seguir será de una pequeña intervención quirúrgica sumado a un tratamiento con antibióticos.
En ese contexto, los expertos de Clínica Dentix, detallan los dos tipos de tratamientos a utilizar:

Es un procedimiento sencillo y con una recuperación rápida
Dentro de las principales ventajas de este tratamiento podemos destacar que:

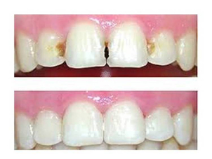
Antes y después, Clínica Dental Naran
En el caso de un tratamiento para una periodontitis leve, la recuperación será casi inmediata e indolora, notando las encías sanas a los 3 o 4 días luego de la limpieza profunda. En el caso de realizar un tratamiento regenerativo, la recuperación es más larga y lo más probable es que el periodoncista le recomiende seguir los siguientes pasos:
Finalmente se establecerá un programa de control para realizar seguimiento al paciente y a su correcta evolución para evitar nuevamente una posible infección.

Hipersensibilidad dental y pérdida de piezas dentales debido a la exposición de la dentina radicular, pueden ser algunos de los efectos secundarios
A pesar de ser una cirugía mínimamente invasiva, los tratamientos para la periodontitis pueden traer algunas complicaciones que hay que tener en cuenta. Entre las más comunes destacan:
Para prevenir todo lo anterior los especialistas recomiendan el uso de algunos medicamentos específicos para combatirlos como el uso de enjuagues bucales con altas concentraciones de flúor, entre otros.

Antes y después. Foto de Clínica Dental Galápagos
Lo bueno de este tratamiento son los innumerables resultados que conlleva, ya que el paciente podrá percibirlos a los pocos días.
Entre los que más se destacan son:
Red Salud UC Christus. (2019). Periodoncia. [online] Available at: http://redsalud.uc.cl/ucchrist... [Accessed 15 Apr. 2019].
Medline Plus. (2019). Periodontitis. [online] Available at: https://medlineplus.gov/spanis... [Accessed 15 Apr. 2019].
Sociedad de Periodoncia Chile. (2019).¿Cómo ser socio?. [online] Available at: http://www.spch.cl/como-ser-so... [Accessed 15 Apr. 2019].
Corporación Nacional Autónoma de Certificación de Especialidades Odontológicas (CONACEO). (2019).Corporación Nacional Autónoma de Certificación de Especialidades Odontológicas (CONACEO). [online] Available at: http://www.supersalud.gob.cl/a... [Accessed 15 Apr. 2019].
Clínica Periodontitis. (2019).Periodontitis. [online] Available at: http://periodontitis.cl/ [Accessed 15 Apr. 2019].